1. INTRODUCTION
The definition of probiotics is supplementation of living microorganisms, which benefits the host by improving its intestinal microbial balance [1]. These are supplemented with food products and provide several health benefits that include controlling of intestinal infection, serum cholesterol levels, improving lactose utilization, and having anticarcinogenic activity [2]. The probiotic bacteria have broad application in foods for promoting health benefits. The increase in demand of functional food is in response to the consumer demand for health foods [3]. The major industrial probiotic foods are dairy products, which may inconveniences to consumers due to the presence of lactose and cholesterol [4]. Hence, the developments of fruit and vegetable juice based on functional beverages with probiotics have real interest, based on the taste profiles that are appealing to all age groups [5]. Probiotics have potent characteristics features such as resistance to acid, bile, epithelial cell attachment, and stomach colonization [6].
Fruit and vegetable juices have beneficial nutrients such as vitamins, antioxidants, dietary fibers, and minerals. For cultivating probiotics, the juices are one of the ideal media suggested by several researchers [7]. In general, the fruits and vegetables do not contain any dairy allergens that prevent usage by certain groups of population [8]. The juices may be considered as vehicles for the incorporation of probiotics into human intestine [9]. The amounts of sugars present in the fruit and vegetable juices also encourage probiotic growth. For the above reasons, fruit and vegetable juices are being examined for their ability to support probiotic delivery in humans.
One of the lipid-lowering drugs are statins, but all have hazardous side effects [10]. Oxidative stress inhibition is considered an important therapeutic approach. Efforts have been made to identify potential antioxidant compounds from medicinal plants [11]. However, all the tested antioxidants failed to confirm significant antiatherosclerotic effects in humans [12]. Two research teams, Shaper et al. [13] and Mann and Spoerry [14] observed that tribal men of Samburu and Maasai of Africa after consumption of fermented milk with Lactobacillus showed reduced serum cholesterol. The cholesterol-lowering bacteria include Lactobacilli, Bifidobacteria, and Enterococci [15].
Due to immunomodulatory and metabolic function, the probiotics have beneficial effects when they are administered for prophylactic and nutritional purposes [11,16]. Probiotics do not cause accumulation of toxic substances in the body, but they can induce little side effects. They can restore normal intestinal microflora and exclude the acquired pathogens by decreasing the intestinal permeability [17,18]. After unveiling the benefits in treating diseases such as atherosclerosis, diabetes, hypertension, neoplasm, and HIV infections, the interest in probiotics is increased [19-21]. In vivo studies have reported that some Lactobacilli can lower the levels of total cholesterol (TC) and low-density lipoproteins (LDL) [11,22]. The regulation of the gut microbiome influences the metabolic health, atherosclerosis, and obesity. This also helps in the alternative strategy for the treatment of cardiovascular diseases. There are several reports on hypolipidemic and antioxidant potential of dairy probiotics [23,24].
Lysinibacillus is found in plants, animals, and soil. Lysinibacillus sphaericus the first identified species in the genus Lysinibacillus, classified on the basis of cell wall and peptidoglycan. Ahmad et al. [25] reported that the Lysinibacillus has potential antimicrobial properties against foodborne bacterial and fungal pathogens. The present study aimed to evaluate probioticated tomato juice (PTJ) and probioticated carrot juice (PCJ) (individually and mixed) for their usefulness in lowering the cholesterol levels in high-fat diet (HFD)-fed rats.
2. MATERIALS AND METHODS
2.1. Probiotic Culture
L. sphaericus isolate (KR140152) of our Laboratory (Department of Biochemistry, S.V. University, Tirupati) was maintained using MRS agar medium (HiMedia, Mumbai) [26] and used in the present study.
2.2. Processing of Juices
Tomatoes and carrot were procured from the vegetable market of Tirupati city [Figure 1a and b]. The vegetable stored in a wooden box for further maturation and were washed with running tap water to remove impurities. Air dried at room temperature before use and treated with steam for 3–4 min for sterilization and peeling. The juice was prepared by using a laboratory grinder and filtered through a sieve (0.8–1.1 mm pore size) [27]. Finally, the juice samples subjected to probiotication.
2.3. Preparation of Inoculum
L. sphaericus (isolate) pure culture grown into two successive broth cultures at 37°C for 24 h. The culture in the active condition inoculated into the MRS broth and incubated at 37°C for 24 h and used as the inoculum for probioticating the juices.
2.4. probiotication of Tomato and Carrot Juices
A 100 mL of tomato and carrot juices were taken separately into a conical flask and autoclaved for 15 min at 121°C. Probiotic culture L. sphaericus inoculated into these flasks and incubated at 37°C for 72 h [7].
2.5. Probiotication of Mixed Juice (PCT)
A 100 mL of 1:1 ratio sample (tomato and carrot) was taken into a conical flask and autoclaved for 15 min at 121°C. Probiotic culture L. sphaericus inoculated into the flask and incubated at 37°C for 72 h.
2.6. PTJ, PCJ and PCT Physicochemical Analysis
The digital pH meter (Eutech, Japan) was used for measuring the pH of probioticated juices. Hand refractometer (Erma, Japan) was used for determining the total soluble solids (TSS) and the values expressed as Bx. Pour plate method was used for determining the total viable count at 37°C for 72 h and expressed as colony-forming unit per mL [28].
2.7. Experimental Animal Design and Treatments
6-month-old male albino Wistar rats (180–200 g) were procured from Sri Raghavendra Suppliers, Bengaluru. The rats were maintained in a dry polypropylene cages and provided pellet diet and water. As per the guideline of the CPCSEA, the animals kept in a ventilated house with 12 h light and 12 h dark. The experimental animal work was approved by the Animal Ethical Committee of our university with a resolution No.39/2012.2013/i/a/CPCSEA/IAEC/SVU/OVS-SNS/Dt.08-07-2012.
2.8. Induction of Hyperlipidemia
By feeding the HFD, the rats were made hyperlipidemic for 21 days. Table 1 represents the composition of HFD. Forty-eight rats divided into eight experimental groups of 6 each as per the design of Arola et al. [29], and PTJ, PCJ, and their mixed juices (PCT) were orally administered for 28 days [30].
Group-1: Normal control diet
Group-2: HFD
Group-3: HFD+PTJ (1 mL) (HFD+T1)
Group-4: HFD+PTJ (2 mL) (HFD+T2)
Group-5: HFD+PCJ (1 mL) (HFD+C1)
Group-6: HFD+PCJ (2 mL) (HFD+C2)
Group-7: HFD+PTJ plus PCJ (2 mL) (HFD+MX)
Group-8: HFD+Lovastatin (5 mg/kg body weight) (HFD+STD)
2.9. Determination of Body Weight and Biochemical Parameters
Throughout the experimental period, the weight gain of rats was monitored weekly. Blood samples were collected from overnight fasting normal and treated HFD-fed rats through retro-orbital puncture. Estimation of serum cholesterol was carried out using the method of Zlatkis et al. [31]; triglycerides (TG) were carried out by the method of Foster and Dunn [32]; high-density lipoprotein (HDL) levels were carried out by the method of Burstein et al. [33]; LDL and very LDL (VLDL) were carried out by the method of Freidwald et al. [34].
![]() | Figure 1: (a) Tomato, (b) carrot [Click here to view] |
![]() | Table 1: Composition of HFD [Click here to view] |
2.10. Histopathological Studies
The liver and adipose tissues were collected from the sacrificed animals and fixed in 10% formalin solution. Later, the tissues embedded in paraffin and cut into 5-µm thick slices followed by fixing on slides. Both hematoxylin and eosin used for staining the slides. Finally, stained slides were observed under light microscope fitted with charge-coupled device camera [35].
2.11. Statistical Analysis of the Experimental Data
The data were expressed as mean and standard deviation and analyzed by one-way analysis of variance using SPSS version 16.0.
3. RESULTS
L. sphaericus isolate has shown probiotic nature when subjected to acid and bile tolerance tests [26]. Hence, the above culture applied in the PTJ, PCJ, and PCT in the present study.
3.1. Analyses of PTJ, PCJ, and PCT for Physicochemical Changes
The pH and TSS of juices were decreased during probiotication of tomato, carrot, and tomato plus carrot at 37°C during the period of 72 h, whereas the cell viability was increased in the first 24 h and later gradually decreased due to the consumption of nutrients. The better cell viability was shown at acidic pH [Table 2]. L. sphaericus growth was better in tomato, carrot, and tomato plus carrot juices even at acidic pH during the period of 72 h. However, 24 h PCJ, PTJ, and PCT have shown better cell viability, and therefore, they were used in experiments of hypolipidemic activity.
![]() | Table 2: Physicochemical analyses of PTJ, PCJ, and mixed juices [Click here to view] |
![]() | Figure 2: The effect of probioticated tomato, carrot, and mixed juices on serum lipid profile [Click here to view] |
3.2. Effect on Serum Lipid Profile
Post-treatment with probioticated juices in rats was found to reduce levels of serum cholesterol, TG, LDL, and VLDL and increase levels of HDL [Figure 2]. Among oral administration of probioticated juices, the PCJ (2 mL/rat) has shown decreased levels of serum cholesterol, TG, LDL, and VLDL and increase of HDL, when compared to the HFDfed rats, followed by tomato plus carrot (2 mL/rat), tomato (2 mL/rat), carrot (1 mL/rat), and tomato (1 mL/rat). The supplementation of carrot juice (2 mL/rat) has shown similar results that are nearer to standard statin drug (lovastatin)-treated rats.
3.3. Effect of Probioticated Juices on the Body Weights in HFD-Fed Rats
Oral administration of PTJ, PCJ, and PCT fruit juices containing L. sphaericus significantly lowered the body weights of HFD-fed rats, when compared with their corresponding control (Group 2). The results definitely proved that PCJ has a better effect than the tomato and mixed juices in lowering hyperlipidemic activity [Table 3].
![]() | Table 3: Effect of probioticated supplemented juices on body weights of rats [Click here to view] |
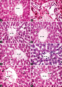
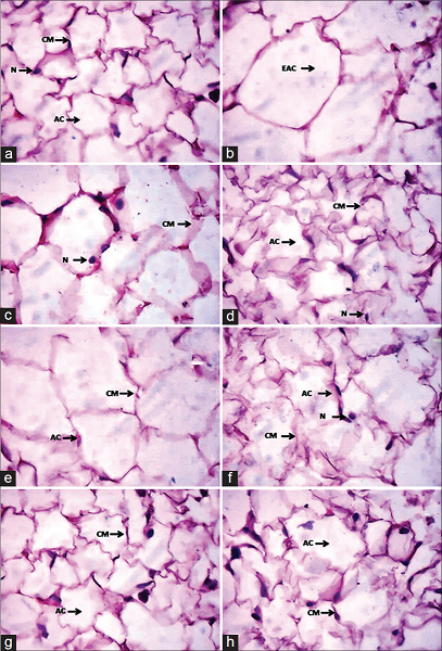
3.4. Effect of Probioticated Juices on Histopathalogical Changes in Rats
Oral administration of probioticated tomato, carrot, and tomato plus carrot fruit juices containing L. sphaericus significantly modulated the changes of histopathological architecture. Figure 3 shows the architecture of normal and treated liver tissue of rats, whereas Figure 4 shows that architecture of normal and treated adipose tissue of rats. In these, Figures 3a and 4a refer to normal diet-fed rat liver and adipose. Figures 3b and 4b refer to HFD-fed rat liver and adipose, and some architectural variations were found in HFD-fed rats. The recovery of architecture found in probioticated juice-treated rats (Figures 3c and 4c refer to HFD+C1; Figures 3d and 4d refer to HFD+C2; Figures 3e and 4e refer to HFD+T1; Figures 3f and 4f refer to HFD+T2; and Figures 3g and 4g refer to HFD+MX), whereas lovastatin (HFD+STD)-treated rats, tissue architecture was similar to normal diet-fed rats in architecture [Figures 3h and 4h].
4. DISCUSSION
A promising cost-effective approach in lowering serum and plasma levels of different lipids is through the probiotic dietary intervention in the management of several diseases. Probiotic bacteria are considered normal intestinal microflora in humans and animals associated with various health promoting properties [36].
The PTJ, PCJ, and PCT have shown low pH when increased time duration and also observed that a decreased cell viability is due to consumption of nutrients or lack of nutrients. The above results are similar to Sivudu et al. [37] and Yoon et al. [7]. The cell viability of probiotic bacteria plays an important role in the health benefits [38]. The main factor affecting the cell viability is due to accumulation of organic acids that result in decrease in pH [39]. Babu et al. [40] reported that the addition of substrate increases the cell viability. On the contrary, the decreased cell viability was observed in the present study due to lack of nutrients.
According to Bhattacharya et al. [41], the reduction of serum and tissue lipid levels was observed in Emblica officinalis-treated hyperlipidemic rats due to the presence of good antioxidants. The phytochemicals such as alkaloids, flavonoids, saponins, and tannins have a great responsibility in the reduction of pathological conditions such as hypoglycemic and hypolipidemic activities [42]. Lee et al. [43] reported that the tomato juices contained the hypolipidemic activity and da Silva Dias [44] reported that carrot possessed the property of lowering cholesterol due to the presence of phytoconstituents. Kumar et al. [45] reported that the probioticated sapota and mango have better hypolipidemic activity than non-probioticated juices.
Several researchers proposed mechanisms for the reduction of total lipid content by the probiotic bacteria. These include deconjugation of bile acids through bile salt hydrolase while the cholesterol act as precursor for bile acid synthesis in blood [46]. The probiotics have other mechanisms for cholesterol removal and these include assimilation of cholesterol by growing cells, binding of cholesterol to cell surface, and incorporation of cholesterol into cell membrane [47,48]. The probiotic cultures convert cholesterol into coprostanol [49] and short chain fatty acids such as propionate, and they also involved in the redistribution of cholesterol from plasma to liver [50]. Ooi and Liong [51] reviewed the lowering cholesterol effects of probiotics and prebiotics in both in vitro and in vivo conditions.
![]() | Figure 3: Liver histopathological changes of normal and probioticated juice supplemented rats (a) normal; (b) HFD; (c) HFD+C1; (d) HFD+C2; (e) HFD+T1; (f) HFD+T2; (g) HFD+MX; (h) HFD+STD [Click here to view] |
In the present study, PTJ and PCJ containing L. sphericus have been tested in rats fed with HFD for their lowering ability of TC, TG, LDL, and VLDL. The results indicated that the probioticated juices did potentially possess the hypolipidemic activity in the rat model system. The above results are in agreement with the previous reports on the hypolipidemic activity of dairy probiotic foods [52,53].
LDL plays a vital role in the transportation of fat from the liver to periphery. The increased levels of LDL lead to deposition of fat in artery and aorta, and hence, it leads to coronary heart diseases [54]. The decreased levels of LDL levels were found in supplementation of probioticated tomato and carrot to HFD-fed rats. A significant increase of HDL levels was observed in PTJ-, PCJ-, and PCT-treated hyperlipidemic rats. Furthermore, partly increased levels of HDL cholesterol were observed in hyperlipidemia rats treated with PTJ and PCJ due to the presence of phytochemicals in the tomato and carrot with probiotic strains that are responsible for the hypolipidemic activity.
![]() | Figure 4: Adipose histopathological changes of normal and probioticated juice supplemented rats (a) normal; (b) HFD; (c) HFD+C1; (d) HFD+C2; (e) HFD+T1; (f) HFD+T2; (g) HFD+MX; (h) HFD+STD [Click here to view] |
The HFD-induced obesity is a popular model due to the similarity of mimicking obesity in humans. Buettner et al. [55] reviewed the metabolic data obtained with different HFD approaches. The present study revealed that significant increase in animal body weight when exposed to HFD for 3 weeks. In the body weights of HFD and normal diet-fed rats, we have observed a significant difference, but no difference was observed in the daily intake of food. The above observation provides that body weight increase is independent on the amount of food consumed by the rat. The supplementation of probioticated juices (PCJ, PTJ, and PCT) along with HFD showed the reduction in body weights when compared to its corresponding control. These results have suggested that PTJ, PCJ, and PCT are preventing the weight gain and helping in maintaining the correct body weight.
The swelling of hepatocytes together with excessive cytoplasmic vacuolation and vascular congestion was observed in the liver histopathological changes in HFD group rats (Group 2). The recovery of hepatocytes was observed in probioticated juice-supplemented rats, and these results were in agreement with El-Moneim and ElMouaty [56]. There was also an increase in the amount of white adipose tissue surrounding the kidney, and an increased size of adipocytes was observed in HFD rats compared with the rats received PCJ, PTJ, and PCT together with HFD. These results were in agreement with Nanna et al. [57] and they reported that histological changes were observed in aqueous leaf extract of Tiliacora triandra administrated to HFD mice.
5. CONCLUSIONS
The L. sphaericus has probiotic nature and shown better growth in both tomato and carrot juices even at low pH and 72 h incubation. The PCJ has better growth than PTJ. A number of fat removal mechanisms by probiotics have been proposed, by several researchers. Both PTJ and PCJ were found to possess hypolipidemic activity. The PCJ showed better action on hyperlipidemia than the PTJ. A 2 mL concentration of PCJ has shown an action similar to lovastatin (statin drug)-treated rats. Hence, beverages made from tomato and carrot with probiotics may provide better health benefits to the consumers.
6. ACKNOWLEDGMENT
We acknowledge the support of Dr. S.C. Basappa, formerly Deputy Director CFTRI, Mysuru, for his critical comments on the manuscript.
7. REFERENCES
1. Fuller R. Probiotics in man and animals. J Appl Bacteriol 1989;66:365-78. Crossref
2. FAO/WHO. Report of a Joint FAO/WHO Expert Consultation on Evaluation of Health and Nutritional Properties of Probiotics in Food Including Powder Milk with live LAB. Rome: Food and Agriculture Organization of the United Nations, World Health Organization; 2001.
3. Menrad K. Market and marketing of functional food in Europe. J Food Eng 2003;53:181-8. Crossref
4. Yoon KY, Woodams EE, Hang YD. Production of probiotic cabbage juice by lactic acid bacteria. Bioresour Technol 2006;97:1427-30. Crossref
5. Sheehan VM, Ross P. Fitzgerald GF. Assessing the acid tolerance and the technological robustness of probiotic cultures for fortification in fruit juices. Int Food Sci Emerg Technol 2007;8:279-84. Crossref
6. Kumar BV, Vijayendra SV, Reddy OV. Trends in dairy and non-dairy probiotic products-a review. J Food Sci Technol 2015;52:6112-24. Crossref
7. Yoon KY, Woodams EE, Hang YD. Probiotication of tomato juice by lactic acid bacteria. J Microbiol 2004;42:315-8.
8. Luckow T, Delahunty C. Which juice is ‘healthier’? A consumer study of probiotic non-dairy juice drinks. Food Qual Prefer 2004;15:751-9. Crossref
9. Tuorila H, Gardello AV. Consumer response to an off flavour in juice in the presence of specific health claims. Food Qual Prefer 2002;13:561-9. Crossref
10. Gotto AM Jr., Moon JE. Recent clinical studies of the effects of lipid-modifying therapies. Am J Cardiol 2012;110:15A-26A. Crossref
11. Stancu CS, Sanda GM, Deleanu M, Sima AV. Probiotics determine hypolipidemic and antioxidant effects in hyperlipidemic hamsters. Mol Nutr Food Res 2014;58:559-68. Crossref
12. Niki E. Assessment of antioxidant capacity of natural products. Curr Pharm Biotechnol 2010;11:801-9. Crossref
13. Shaper AG, Jones KW, Jones M, Kyobe J. Serum lipids in three nomadic tribes of northern Kenya. Am J Clin Nutr 1963;13:135-46. Crossref
14. Mann GV, Spoerry A. Studies of a surfactant and cholesteremia in the Maasai. Am J Clin Nutr 1974;27:464-9. Crossref
15. Cavallini DC, Bedani R, Bomdespacho LQ, Vendramini RC, Rossi EA. Effects of probiotic bacteria, isoflavones and simvastatin on lipid profile and atherosclerosis in cholesterol-fed rabbits: A randomized double-blind study. Lipids Health Dis 2009;8:1. Crossref
16. Scarpellini E, Cazzato A, Lauritano C, Gabrielli M, Lupascu A, Gerardino L, et al. Probiotics: which and when?. Dig Dis 2008;26:175-82. Crossref
17. Ohland CL, Macnaughton WK. Probiotic bacteria and intestinal epithelial barrier function. Am J Physiol Gastrointest Liver Physiol 2010;298:G807-19. Crossref
18. Amit-Romach E, Uni Z, Reifen R. Multistep mechanism of probiotic bacterium, the effect on innate immune system. Mol Nutr Food Res 2010;54:277-84. Crossref
19. Gratz SW, Mykkanen H, El-Nezami HS. Probiotics and gut health: A special focus on liver diseases. World J Gastroenterol 2010;16:403-10. Crossref
20. Musso G, Gambino R, Cassader M. Obesity, diabetes, and gut microbiota: The hygiene hypothesis expanded? Diabetes Care 2010;33:2277-84. Crossref
21. Tlaskalova-Hogenova H, Stepankova R, Kozakova H, Hudcovic T, Vannucci L, Tuckova L, et al. The role of gut microbiota (commensal bacteria) and the mucosal barrier in the pathogenesis of inflammatory and autoimmune diseases and cancer: Contribution of germ-free and gnotobiotic animal models of human diseases. Cell Mol Immunol 2011;8:110-20. Crossref
22. Pereira DI, Gibson GR. Cholesterol assimilation by lactic acid bacteria and bifidobacteria isolated from the human gut. Appl Environ Microbiol 2002;68:4689-93. Crossref
23. Paik HD, Park JS, Park E. Effects of Bacillus polyfermenticus SCD on lipid and antioxidant metabolisms in rats fed a high-fat and high-cholesterol diet. Biol Pharm Bull 2005;28:1270-4. Crossref
24. Amaretti A, di Nunzio M, Pompei A, Raimondi S, Rossi M, Bordoni A. Antioxidant properties of potentially probiotic bacteria: In vitro and in vivo activities. Appl Microbiol Biotechnol 2013;97:809-17. Crossref
25. Ahmad V, Iqbal AN, Haseeb M, Khan MS. Antimicrobial potential of bacteriocin producing Lysinibacillus jx416856 against food borne bacterial and fungal pathogens, isolated from fruits and vegetable waste. Anaerobe 2014;27:87-95. Crossref
26. Sivudu SN, Harika A, Umamahesh K, Reddy OV. Isolation, identification and characterization of Lysinibacillus sphaericus from fresh water fish intestinal tract. Int J Biol Res 2017;2:9-13.
27. Kumar YS, Prakasam RS, Reddy OV. Optimisation of fermentation conditions for mango (Mangifera indica L.) wine production by employing response surface methodology. Int J Food Sci Technol 2009;44:2320-7. Crossref
28. Fankhauser DB. Pour Plate Technique for Bacterial Enumeration. Batavia: Clermont College, University of Cincinnati; 2005. p. 1-3.
29. Arola OJ, Saraste A, Pulkki K, Kallajoki M, Parvinen M, VoipioPulkki LM. Acute doxorubicin cardiotoxicity involves cardiomyocyte apoptosis. Cancer Res 2000;60:1789-92.
30. Kujawska M, Ignatowicz E, Ewertowska M, Markowski J, JodynisLiebert J. Cloudy apple juice protects against chemical-induced oxidative stress in rat. Eur J Nutr 2011;50:53-60. Crossref
31. Zlatkis A, Zak B, Boyle A. A new method for the direct determination of serum cholesterol. J Lab Clin Med 1953;41:486-92.
32. Foster LB, Dunn RT. Stable reagents for determination of serum triglycerides by colorimetric condensation method. Clin Chem 1973;19:338-40.
33. Burstein M, Schlnichk HR, Morin R. Rapid method for the isolation of lipoproteins from human serum by precipitation with polyanions. J Lipid Res 1970;11:583-95.
34. Friedewald WT, Levy RI, Fredrickson DS. Estimation of the concentration of low-density lipoprotein cholesterol in plasma, without use of the preparative ultracentrifuge. Clin Chem 1972;18:499-502.
35. Chen YM, Wei L, Chiu YS, Hsu YJ, Tsai TY, Wang MF, et al. Lactobacillus plantarum TWK10 supplementation improves exercise performance and increases muscle mass in mice. Nutrients 2016;8:205. Crossref
36. Mei L, Tang Y, Li M, Yang P, Liu Z, Yuan J, et al. Co-administration of cholesterol-lowering probiotics and anthraquinone from Cassia obtusifolia L. ameliorate non-alcoholic fatty liver. PLoS One 2015;10:e0138078. Crossref
37. Sivudu SN, Ramesh B, Kumar BV, Reddy OV. Optimization of co-fermentation of carrot and tomato juices by probiotic bacteria and yeast using a central composite design. Nutrafoods 2016;15:85-99.
38. Shah NP. Functional foods, probiotics and prebiotics. Food Technol 2001;55:46-53.
39. Hood SK, Zottola EA. Effect of low pH on the ability of Lactobacillus acidophilus to survive and adhere to human intestinal cells. J Food Sci 1988;47:126-36. Crossref
40. Babu V, Mital BK, Grag SK. Effect of tomato juice addition on the growth and activity of Lactobacillus acidophilus. Int J Food Microbiol 1992;17:67-70. Crossref
41. Bhattacharya SK, Bhattacharya A, Sairam K, Ghosal S. Effect of bioactive tannoid principles of Emblica officinalis on is chemiare perfusion-induced oxidative stress in rat heart. Phytomedicine 2002;9:171-4. Crossref
42. Umbare RP, Mate GS, Jawalkar DV, Patil SM, Dongare SS. Quality evaluation of Phyllanthu samaras (Schumach) leaves extract for its hypolipidemic activity. Biol Med 2009;1:28-33.
43. Lee LC, Wei L, Huang WC, Hsu YJ, Chen YM, Huang CC. Hypolipidemic effect of tomato juice in hamsters in high cholesterol diet-induced hyperlipidemia. Nutrients 2015;7:10525-37. Crossref
44. da Silva Dias JC. Nutritional and health benefits of carrots and their seed extracts. Food Nutr Sci 2014;5:2147. Crossref
45. Kumar BV, Ali MD, Sivudu SN, Reddy OV. Hypolipidemic activity of probioticated mango and sapota fruit juices in Albino Wistar rats. Ann Food Sci Technol 2016;17:299-306.
46. Lye HS, Kuan CY, Ewe JA, Fung WY, Liong MT. The improvement of hypertension by probiotics: Effects on cholesterol, diabetes, renin and phytoestrogens. Int J Mol Sci 2009;10:3755-75. Crossref
47. Kumar M, Nagpal R, Kumar R, Hemalatha R, Verma V, Kumar A, et al. Cholesterol-lowering probiotics as potential bio-therapeutics for metabolic diseases. Exp Diabetes Res 2012;2012: Article ID: 902917, 14.
48. Shehata MG, El Sohaimy SA, El-Sahn MA, Youssef MM. Screening of isolated potential probiotic lactic acid bacteria for cholesterol lowering property and bile salt hydrolase activity. Ann Agric Sci 2016;61:65-75. Crossref
49. Lye HS, Rusul G, Liong MT. Removal of cholesterol by lactobacilli via incorporation and conversion to coprostanol. J Dairy Sci 2010;93:1383-92. Crossref
50. Wolever TM, Fernandes J, Rao AV. Serum acetate: Propionate ratio is related to serum cholesterol in men. J Nutr 1996;126:2790-7.
51. Ooi LG, Liong MT. Cholesterol-lowering effects of probiotics and prebiotics: A review of in vivo and in vitro findings. Int J Mol Sci 2010;11:2499-522. Crossref
52. Xiao JZ, Kondo S, Takahashi N, Miyaji K, Oshida K, Hiramatsu A. Effect of milk products fermented by Bifidobacterium longumon blood lipids in rats and healthy adult male volunteers. J Dairy Sci 2003;86:2452-61. Crossref
53. Li C, Nie SP, Ding Q, Zhu KX, Wang ZJ, Xiong T, et al. Cholesterol-lowering effect of Lactobacillus plantarum NCU116 in a hyperlipidaemic rat model. J Funct Foods 2014;8:340-7. Crossref
54. Pedersen TR. Low density lipoprotein fat lowering is and will be the key to the future of lipid management. Am J Cardiol 2001;87:8-12. Crossref
55. Buettner R, Scholmerich J, Bolheimer LC. High-fat diets: Modeling the metabolic disorders of human obesity in rodents. Obesity 2007;15:798-808. Crossref
56. El-Moneim RA, El-Mouaty HM. A comparative histological, immunohistochemical, and biochemical study of the effect of green tea extracts or chromium picolinate administration on the white visceral adipose tissue and liver in albino rats fed on high-fat diet. Egypt J Histol 2013;36:882-98. Crossref
57. Nanna U, Naowaboot J, Chularojmontri L. Effects of Tiliacora triandra leaf water extract in high-fat diet fed mice. J Med Assoc Thailand 2017;100:78.




.png)

