Graphical Abstract

July-August, 2020

Volume: 8, Issue: 4

In this Issue: Research Article: 14

Research Article

30 Jul, 2020

Efficacy of antibiotic sensitivity and antimicrobial activity of Streptomyces cinereoruber RSA-14 isolated from rhizosphere soil of Alternanthera sessilis (L.) R. Br. ex DC

Sreenivasa Nayaka, Halaswamy Hiremath, Bidhayak Chakraborty, Pallavi Sathyanarayan Swamy, Dhanyakumara Shivapoojar Basavarajappa, Shashiraj Kareyallappa Nagaraja, Muthuraj Rudrappa, Meghashyama Prabhakara Bhat, Dattatraya Airodagi, Meenakshi Shivanandagouda Murigennavar

DOI: 10.7324/JABB.2020.80401Pages: 1-6

Graphical Abstract

30 Jul, 2020

Taxonomic validation of Areolate grouper, Epinephelus areolatus (Perciformes: Serranidae) along the Nizampatnam coast, India

Chatla Darwin, Padmavathi Pamulapati, Gatreddi Srinu

DOI: 10.7324/JABB.2020.80402Pages: 7-15

Graphical Abstract

30 Jul, 2020

Purification and characterization of an iron-activated alkaline phosphatase produced by Rhizopus microsporus var. microsporus under submerged fermentation using rye flour

Pedro Henrique de Oliveira Ornela, Luis Henrique Souza Guimarães

DOI: 10.7324/JABB.2020.80403Pages: 16-25

Graphical Abstract

30 Jul, 2020

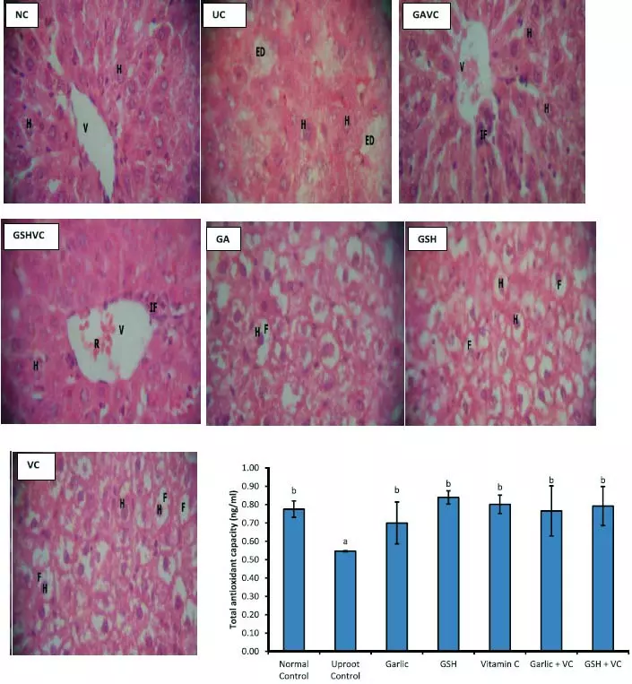
Biochemical and liver histological changes in rats exposed to sub-lethal dose of Uproot-pesticide and the protective potentials of nutritional supplements

Cosmas Onyekachi Ujowundu, Kingsley Isaac Ogamanya, Favour Ntite Ujowundu, Victoria Ojone Adejoh, Calistus I. Iheme, Kalu Okereke Igwe

DOI: 10.7324/JABB.2020.80404Pages: 26-32

Graphical Abstract

30 Jul, 2020

Acute toxicity evaluation of homeopathic preparation of Gymnema sylvestre and analysis of its chemical constituents

Avanish Shukla, Imtiaz Khalid Muhammed, Ravi Sheshala, Ibrahim Usman Mhaisker, Krishna Rampal

DOI: 10.7324/JABB.2020.80405Pages: 33-37

Graphical Abstract

30 Jul, 2020

Screening and evaluation of PGPR strains having multiple PGP traits from hilly terrain

Teg Bahadur Singh, Vikram Sahai, Akbar Ali, Mrinalini Prasad, Arti Yadav, Preksha Shrivastav, Deepika Goyal, Prem Kumar Dantu

DOI: 10.7324/JABB.2020.80406Pages: 38-44

Graphical Abstract

30 Jul, 2020

Antibiofilm and anti-inflammatory potential of lignans with collegial effect: Secoisolariciresinol diglucoside and sesamin as antimicrobial sources

Ashwini Bhaskar, Shailasree Sekhar, Rajesha Javaraiah

DOI: 10.7324/JABB.2020.80407Pages: 45-51

Graphical Abstract

30 Jul, 2020

Evaluation of antitumor activities of different epigeic earthworms

Soumya R. Patil, Pulikeshi M. Biradar

DOI: 10.7324/JABB.2020.80408Pages: 52-57

Graphical Abstract

30 Jul, 2020

Effect of frozen storage on the biochemical, microbial and sensory attributes of Skipjack Tuna (Katsuwonus pelamis) fish loins

Suprakash Chakma, Susmita Saha, Nazmul Hossain, Md. Arifur Rahman, Marjan Akter, Md. Sazedul Hoque, Md. Rahamat Ullah, Sujan Kanti Mali, Al Shahriar

DOI: 10.7324/JABB.2020.80409Pages: 58-64

Graphical Abstract

30 Jul, 2020

Comparison of diagnostic performance between serological tests (Scrub IgM-ELISA) and Scrub-PCR for scrub typhus fever in an Indian tertiary care teaching hospital

Anil Gatika, Subrat Kumar Swain, Jatindra Nath Mohanty, Rachita Sarangi

DOI: 10.7324/JABB.2020.80410Pages: 65-68

Graphical Abstract

30 Jul, 2020

Determination of the activity and kinetic parameters of polyphenol oxidase enzyme in crude extracts of some Jordanian plants

Omar Mohammad Atrooz, Nooh Khair AlKhamaisa, Ibrahim M. AlRawashdeh

DOI: 10.7324/JABB.2020.80411Pages: 69-74

Graphical Abstract

30 Jul, 2020

Extraction of oligosaccharides and phenolic compounds by roasting pretreatment and enzymatic hydrolysis from spent coffee ground

Rizwan A. Bhaturiwala, Hasmukh A. Modi

DOI: 10.7324/JABB.2020.80412Pages: 75-81

Graphical Abstract

30 Jul, 2020

Production and optimization of enzyme xylanase by Aspergillus flavus using agricultural waste residues

Jyoti Richhariya, Tirthesh Kumar Sharma, Sippy Dassani

DOI: 10.7324/JABB.2020.80413Pages: 82-89

Graphical Abstract

30 Jul, 2020

Physicochemical, phytochemical, and GC–MS analysis of leaf and fruit of Pouteria campechiana (Kunth) Baehni

Akshata Pai, Chandrakala Shenoy

DOI: 10.7324/JABB.2020.80414Pages: 90-97

Graphical Abstract